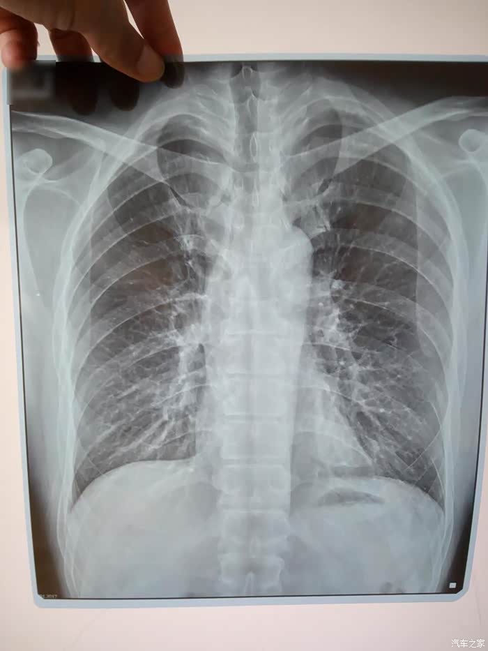
胸片,可见纤维化的印迹
淘来的国产活性炭防毒面具,20几块钱,比3M的便宜很多,但是效果却蛮不错的。。。脱下啦马上能闻到味道。。。
我的郁闷,只有自己最明白。也希望能对车友们有所贡献,仅此而已。。。。。
kindfi 2017/08/02 08:17:22 发表在 5楼
向厂家投诉呀
胖侲 2017/08/02 09:12:57 发表在 6楼
味道大不大,可以实车检测的。发这种东西,不可信。不要吓大家。
不停的超越 2017/08/02 09:20:15 发表在 7楼
我的没事,味道新车里算小的,座椅不要包,等味道跑完了再包
無缘家具设计师 2017/08/02 18:34:27 发表在 11楼
这个到底要不要买这个车啊!一直在看有没有什么问题。
crycry 2017/08/02 23:07:40 发表在 12楼
楼主说的实在话,绝对不是黑,我怀疑m50v甲醛超标,我那天试车才在车上呆了5-7分钟,头疼了一天,味道实在太重了。
GarlicGerry 2017/08/03 01:38:44 发表在 13楼
宝宝在车里睡得可安心了,三个月了,什么呼吸道疾病都没得过。是不是因为某骏马那车气味大得辣眼睛,所有就非得找人来黑五妹?
summerkay 2017/08/03 05:59:06 发表在 16楼
请您先认证通过了,再来和我说话。因为这样我才知道您是车友~而不是车商,谢谢!看帖子历史就知道您是靠论坛赚钱的,又何苦来这里装车友?还是互相尊重吧。
GarlicGerry 2017/08/03 16:18:15 发表在 17楼
你倒没看出你是车友,你要给我扣帽子麻烦用点心,我的帖子已经说明我是车主,订单没看到吗,还有车牌,呵呵
summerkay 2017/08/02 07:05:47 发表在 主楼
昨天去因为胸痛去做了X光,没有发现肿瘤和异常,但是,【肺部轻微纤维化】!这也是开小五以来,一直感受到异味导致胸闷胸痛的原因!我很庆幸,没有什么其他的东西,但是也很担心,纤维化无法逆转。建议车友们购买防毒面具,并且尽一切可能做好通风工作。。。我已经买了皮套来更换车里的座椅,希望能有所好转。。。。上天保佑。。。
lexus_007 2017/09/15 10:57:31 发表在 19楼
你不适合买30万以下的车,还有,你那肺的问题,怎么就可以说是车造成的?不去找其它原因?全部坐过我的车的人都没有说有会不适。再不得把车卖了,然后骑自行车出行。按你的理论,换合什么都没有用,只能换车
扫码下载 汽车之家APP
随时获取 最新汽车资讯